We Know You Don’t Want to Ask: Do I have Genital Warts?

 

How do I know if I have genital warts and how are they treated? This is a question I get asked by patients who come to see me for another problem or for a skin cancer screening. Towards the end of the visit, when I ask if there are any more questions I can answer, they hesitantly bring up this difficult topic. Not surprisingly, most people feel uncomfortable asking this question because they don’t know if it is best discussed with their primary care doctor, their ob/gyn, or their dermatologist. Well, as a common sexually transmitted disease, it is diagnosed and treated by physicians including primary care doctors, urologists, ob/gyns, and, since this disease presents itself on the skin, dermatologists. If you are not sure which doctor to see, check with your primary care physician first, and they will refer you to the right one. 

Here’s some background.

colorful cellular looking image

First, here is some background information. Genital warts are caused by human papillomavirus, or HPV. There are more than 200 different types of the virus that exist; most of them cause common warts and some of them (about 40 types) are sexually transmitted and can cause genital warts, cervical cancer, some genital cancers, and occasionally some oral cancers. The ones that cause cancers are called oncogenic. Genital warts are caused by types 6 and 11, which are not oncogenic. However, being infected with one type increases your risk of infection with another. Most sexually active people will be infected with at least one type of sexually transmitted HPV in their lifetime, but they may never know it, as in the majority of cases, infection resolves spontaneously.

Get a diagnosis.

And now, to answer that pressing question: how can one tell if they are indeed infected with HPV that causes warts? First, if you had sex with someone who was diagnosed with genital warts, there is a high chance that you got the infection. However, that does not mean that you will actually get genital warts. Many people who are infected and harbor the virus in their skin cells do not actually develop visible warts. Second, if you have bumps “down there,” i.e., on the penis and/or scrotum, around the vagina, or around and/or in the anal canal, it does not automatically mean that you have genital warts. There are many things that may cause bumps in the genital area, so for a correct diagnosis, you have to see one of the medical professionals mentioned above. 

HPV Vaccine vial
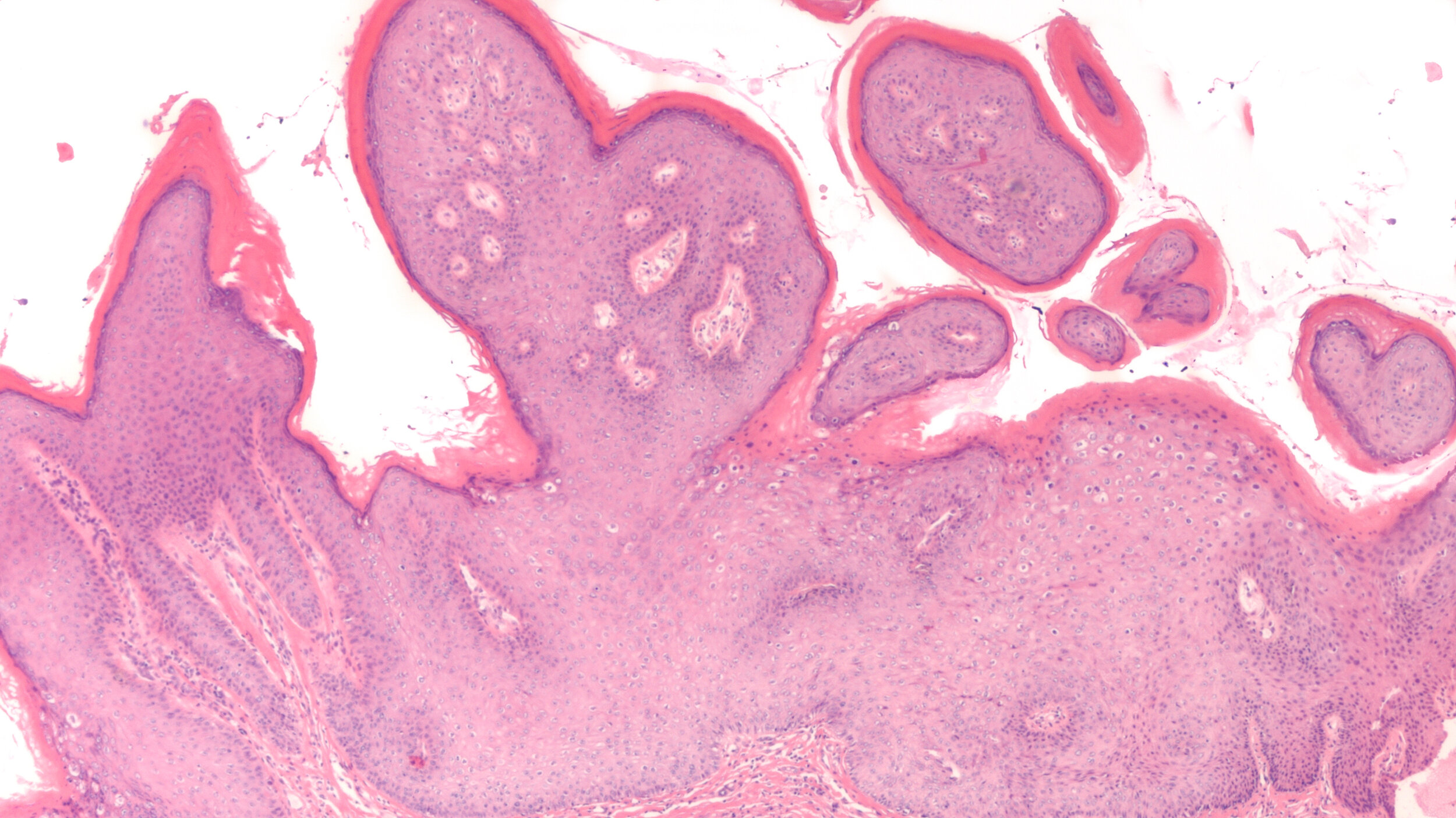
Microscopic image of condyloma accuminatum, also known as a genital wart, with low grade squamous intraepithelial lesion (LSIL, mild dysplasia, CIN 1) due to human papilloma virus (HPV)

Microscopic image of condyloma accuminatum, also known as a genital wart, with low grade squamous intraepithelial lesion (LSIL, mild dysplasia, CIN 1) due to human papilloma virus (HPV)

In the meantime, if you are reading this and wondering about your bumps, but your doctor’s appointment is not for another three weeks, you can try to figure it out yourself. Genital warts are, as the name suggests, warty in appearance, which means they are not smooth, but rather “cauliflower-like.” They can vary in size and usually will come in crops of a few or multiple. Take a look at the photos on the American Academy of Dermatology’s website by clicking here:  Genital Warts: Overview

If you have not seen your doctor yet, you might still be wondering if you have genital warts and how to get rid of them. The best strategy is prevention; abstinence is 100% effective. Proper condom use can reduce the risk of transmission, but does not protect you from infection completely, as the condom covers a limited area of skin. HPV vaccines are also effective in preventing infection, but will not treat warts that are already present.

Learn about treatment choices.

Once you see your doctor, if you are diagnosed with genital warts, you will be presented with a few treatment options. These generally fall into two categories—topical creams or surgical procedures. Your doctor may offer a combination of the two. In any case, you must remember that treatment of genital warts may take months to sometimes years, as the human papillomavirus is very good at evading the immune system. Therefore, be patient and continue to follow up with your physician. Continued evaluation is important until all warts have resolved. If some are not resolving or growing, a biopsy may be needed to make sure it’s not actually a genital cancer. In that regard, women who have genital warts must get regular evaluations for cervical cancer, generally with an ob/gyn, because, as mentioned above, you are at an increased risk of being infected with an oncogenic HPV type at the same time. And finally, if you continue to be sexually active, consistent use of condoms is strongly recommended to protect yourself and your partner.  

 
Previous
Previous

Is That “Chicken Skin” You’re In? What to Do about Keratosis Pilaris (KP)

Next
Next

What Is Molluscum Contagiosum?